Saline Infusion Sonography (SIS)

SIS is basically an ultrasound performed after a little saline (salt water) has been injected into the uterine cavity via a fine plastic catheter that is passed through the cervix. 

First the vagina is disinfected with an antiseptic solution. 

A speculum is placed in the vagina like for a PAP smear and the cervix is visualised. 

A fine catheter is inserted through the cervix. 

The speculum is removed and the vaginal ultrasound probe is inserted in the vagina. 

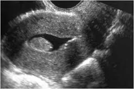
A small amount of saline (salt water) is injected through the catheter. The saline allows accurate assessment of the uterine cavity. The saline dilates the uterine cavity slightly and outlines the lining of the uterus well, making it easier to assess the endometrium accurately and detect certain pathology like polyps. 

sonohysterography-diagram.jpg
saline.jpg

The procedure takes approximately 5-10 minutes and is generally not more uncomfortable than a PAP smear.

Click the links below to learn more about our treatments and facilities.

Patient Information
Contact Us
Request An Appointment